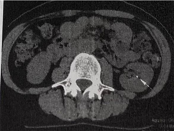
生まれて初めて病院に入院しました。入院の日は我が庭の主役はハナカイドウでした。桜の散る中を病院まで歩いていきました。 入院の目的は腎臓結石の除去手術です。すごく痛いので有名な発作は幸いにもまだ起きていませんでした。手術は内視鏡手術で尿道から内視鏡を腎臓まで差し込みレーザー光線で結石を破壊して取り出すというコワイ話を聞かされました。 まず手術前日に入院。ゆっくり寝られると思っていたら、その期待は無理でした。病院は想像していたよりずっとやかましいところです。機械音、足音、同じ病室の患者のイビキ。特に相部屋の老人が肺炎で夜中に凄まじい咳をし痰を吐きます。結局「もう死んだ方がマシ」とうめきながらICU…